Diagnosticar e realizar diversos procedimentos das especialidades odontológicas, atendendo desta forma a maioria das necessidades dos tratamentos. Nos casos de maior complexidade, o próprio clínico geral orienta e encaminha o paciente para atendimento com um profissional especialista. A prevenção é a melhor maneira de evitar que lesões de cárie e doenças de gengiva ocorram. Para isso é recomendado que o paciente visite seu dentista pelo menos uma vez ao ano.

A especialidade em odontopediatria é o ramo da odontologia que cuida da saúde bucal dos bebês e crianças. Hoje sabemos que a maioria das pessoas têm medo de enfrentar a cadeira do dentista devido às experiências traumáticas negativas que tiveram quando crianças. Por esse motivo, o trabalho do odontopediatra é tão importante. Realizamos todos os tratamentos dentários em bebês, crianças (Odontopediatria) e adolescentes (Hebiatria). Temos formação, experiência e recursos para realizar diversos tipos de tratamentos, desde o acompanhamento preventivo para as gestantes e bebês até a solução dos casos mais críticos, como os de Cárie de Mamadeira.
Os procedimentos podem ser para realizar extrações de dentes, amputação de raízes dentárias, remoção de tecidos para biópsia, cirurgias em tecidos moles, frenectomia (cirurgia de freio labial e lingual), entre outros.

Na Dentística, realizam-se os procedimentos de restaurações e de cosmética (necessidades estéticas do paciente). Para que se tenha um sorriso agradável, é necessário manter os dentes livres de cáries, fraturas, formas inadequadas e coloração alterada. As atuais “resinas compostas” são de alta qualidade, repondo as perdas da estrutura dental com precisão.
O escurecimento dos dentes é provocado pelos mais variados fatores, tais como: corantes contidos nos alimentos, tratamentos de canal, alguns antibióticos, tabaco e causas genéticas.
O clareamento dos dentes é possível através de “géis especiais” para uso caseiro ou em consultório, devolvendo-lhes sua cor original.
Nossa equipe de profissionais terá o prazer de fazer parte do seu sorriso através de resultados surpreendentes e satisfatórios.

A Ortodontia é uma especialidade da Odontologia que tem por objetivo diagnosticar, prevenir e tratar os problemas relacionados ao mau posicionamento e mau relacionamento dos dentes (maloclusão) e das estruturas da face (ossos e tecidos moles).
Os dentes mal posicionados dificultam a higienização, favorecem a inflamação gengival, o aparecimento de cáries, acúmulo de tártaro e o desenvolvimento de parafunções. Dentes bem posicionados podem melhorar a estética, o sorriso, a mastigação e a fonação.

A preservação dos dentes deve ser priorizada ao máximo. Para tanto, é necessário que se mantenha a integridade dos seus canais.
Na Endodontia (ou o tratamento de canal) é realizado o tratamento interno das raízes dos dentes quando apresentam patologias características. Esse tratamento visa à manutenção do dente na cavidade bucal e a saúde dos tecidos periapicais. É feita a remoção do tecido mole que se encontra na parte mais interna do dente (câmara e canal) e que recebe o nome de polpa. Esta pode estar sadia ou infectada e, ao ser removida, é substituída por um material obturador.

Dependendo da extensão da doença periodontal, o tratamento pode variar amplamente. Se a doença for diagnosticada precocemente, procedimentos simples podem ser realizados e irão remover a placa bacteriana e o cálculo abaixo da margem gengival, eliminando, assim, as bactérias causadoras da infecção. Entretanto, se a doença avançou a um ponto em que as bolsas periodontais estão muito profundas e o osso de suporte foi perdido, cirurgias podem ser necessárias. As formas de tratamento periodontal mais utilizadas são:
1. Raspagem e Alisamento Radicular
2. Cirurgia para Redução de Bolsas Periodontais
3. Regeneração Periodontal
4. Aumento de Coroa Clínica: Estético e Funcional
5. Cirurgia plástica periodontal
6. Terapia Periodontal de Suporte (Manutenção)

Trata e prevenir a saúde bucal da terceira idade, provendo uma estética cobrada nos dias atuais pela sociedade e melhor qualidade de vida.

São parafusos implantados, por meio cirúrgico, diretamente no osso maxilar. O período da osseointegração (integração ao osso) leva, em média, de 4 a 6 meses, dependendo da região a receber o implante. Após esse período, uma segunda cirurgia é necessária para ligar o implante ao meio bucal. Nessa fase, o cirurgião dentista remove a gengiva que está recobrindo o implante e, finalmente, um dente artificial (ou dentes) é conectado ao implante, individualmente, ou agrupado em uma prótese fixa.

Especialidade que visa reabilitar a função mastigatória e lida com reposição de tecidos bucais e dentes perdidos ou ausentes. Cuida da recuperação das coroas dentais e da reparação de espaços decorrentes de extrações entre outras, substituindo-os por dentes artificiais.

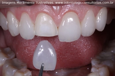
São peças fabricadas em porcelana altamente estéticas que permitem correções estéticas e/ou funcionais como desgastes, fechamento de espaços entre os dentes e correções de posição dentária. São peças muito finas e devido a essa característica exigem mínimo ou nenhum desgaste da estrutura dentária e, apesar disso, são muito resistentes. Esse material simula bem a textura da estrutura dentária. O tratamento é bastante duradouro pois a cerâmica não altera sua cor.

O laminado é uma restauração que envolve apenas a face vestibular (frontal) dos dentes. Esse tipo de restauração pode ser executada com resina composta (diretamente na boca do paciente), com resina elaborada laboratorialmente ou, ainda, com porcelana, que traz as vantagens estéticas e de estabilidade de cor, também executadas no laboratório, ou seja, fora da boca.

O botox é a toxina botulínica substância famosa por ser utilizada com sucesso na correção de rugas dinâmicas, aquelas que aparecem quando realizamos movimentos mímicos.
Poucas pessoas sabem que a toxina botulínica tem uma importante indicação terapêutica no tratamento de doenças causadas pelo excesso de contração dos músculos mastigatórios (apertamento dental e bruxismo), assimetrias faciais, hipertrofia do músculo masseter e disfunção das articulações têmporo mandibulares. Na odontologia o botox pode ser utilizado com sucesso para correção do “sorriso gengival”, que se caracteriza pela elevação acentuada do lábio superior ao sorrir, mostrando uma faixa de gengiva grande e tornando o sorriso anti-estético.
